New, more sensitive sensor for evaluating drug safety
Image
Image of cells expressing the AgHalo sensor before (left) and after (right) cellular stress. The AgHalo sensor is turned on when misfolded proteins begin to aggregate and provides a quantitative measure of cellular stress that can be used to evaluate drug safety. Credit: Yu Liu, Penn State University
Antibodies may reveal timing of previous influenza infection
Image
Graduate students Nguyen Ha Thao Vy (left) and Tran Thi Nhu Thao of the Oxford University Clinical Research Unit in Ho Chi Minh City, Vietnam, perform protein microarray analysis to identify influenza antibodies in human blood. New research reveals that these antibodies may provide insight into the timing of previous H1N1 influenza infections. Credit: Oxford University Clinical Research Unit
Newly Described Algae Species Toughens Up Corals to Endure Warming Oceans
Image
Healthy unbleached (brown) Pocillopora corals from the Eastern Pacific possess a thermally tolerant symbiont species of algae (Symbiodinium glynnii), while unhealthy or dead bleached (white) corals possess a more sensitive symbiont.
AstroFest 2017 is Four Evenings of Astronomy Activities and Stargazing During Arts Festival
Image
Observatory on the roof of Davey Lab
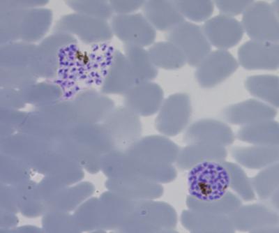
Malaria parasites sense and adapt to their host’s nutritional status
Image
Malaria parasites replicate into many daughter cells inside red blood cells. The red blood cells eventually burst (cell on the left), allowing the parasites to infect new red blood cells. In hosts with reduced calorie intake, fewer daughter cells are produced per round of replication, decreasing the severity of the infection and potentially allowing the host to survive longer. Credit: Maria Mota Laboratory, iMM Lisboa
Flexible flagella fight flow: Bacteria change a liquid’s properties and escape entrapment
Image
A three-dimensional computer-generated illustration of an Escherichia coli bacterium based on a scanning electron micrograph. These bacteria use flagella -- a collection of spinning hairs -- for propulsion. Credit: Alissa Eckert and Jennifer Oosthuizen, CDC.
Genes, Ozone, and Autism: Increased risk for autism when genetic variation and air pollution meet
Image
Genes, Environment, and the Risk for Autism: Environment factors (ozone) can interact with genetic factors (copy number variation) to produce an even higher risk for autism than expected by adding the two risk factors, one that might not be found by studying the factors independently. Credit: Penn State University
Potential new target for antimalarial drugs identified
Image
A colorized electron micrograph of a malaria-causing Plasmodium parasite (right) attaching to and invading a human red blood cell. The inset shows the attachment point at higher magnification. Credit: National Institute of Allergy and Infectious Diseases, NIH
New way to weigh a white dwarf: Use Hubble Space Telescope
Image
This drawing shows the observed versus actual positions of a distant star whose light is distorted by the curvature of space around a heavy star that is between the distant star and the observer. In this case, the observer is the Hubble Space Telescope. Credits: NASA, ESA, and K. Sahu (STScI)
Research expedition continues monitoring impact of Deepwater Horizon oil spill on deep sea corals
Image
Deepwater coral covered in oil and dispersant. Credit: ECOGIG and Penn State (2010)
Subscribe to Research